Você já notou pequenas bolinhas brancas ou amareladas na garganta, que por vezes causam uma sensação incômoda ou mau hálito persistente? Muitas pessoas se perguntam O que são Cáseos Amigdalianos ao se deparar com essa situação, que pode gerar frustração e preocupação. Essas formações, embora benignas, são bastante comuns e frequentemente confundidas com restos de alimentos ou infecções.
Neste artigo, vamos explorar detalhadamente o que são cáseos amigdalianos, desmistificando suas causas e explicando por que eles surgem. Nosso objetivo é oferecer um guia completo para que você compreenda a fundo o que é caseum, seus sintomas característicos e, o mais importante, quais são as opções de tratamento disponíveis atualmente.
Ao finalizar a leitura, você terá todas as informações necessárias para entender se o que observa em sua garganta é realmente um caseo amigdaliano e como lidar com ele de forma eficaz. Abordaremos desde as causas comuns até as melhores práticas para prevenir seu reaparecimento, proporcionando tranquilidade e conhecimento para cuidar da sua saúde bucal e geral.
O Que São Cáseos Amigdalianos? A Definição Completa do Caseum
Se você já notou pequenas bolinhas brancas ou amareladas na garganta, provavelmente se deparou com os cáseos amigdalianos. Para entender o que são cáseos amigdalianos, imagine-os como pequenas massas sólidas que se formam nas cavidades naturais das amígdalas, chamadas criptas.
Essas formações são um aglomerado de células mortas, restos de alimentos, bactérias (principalmente anaeróbias) e sais minerais que sofrem uma calcificação parcial. É fundamental entender que o cáseo amigdaliano não é pus, mas sim um acúmulo de detritos, diferente de infecções bacterianas.
Essa condição é comum, geralmente inofensiva, mas pode causar desconforto e mau hálito, sendo conhecida também como caseum na garganta ou cálculo amigdaliano.
O Que São Cáseos Amigdalianos? Entendendo as ‘Bolinhas Brancas na Garganta’
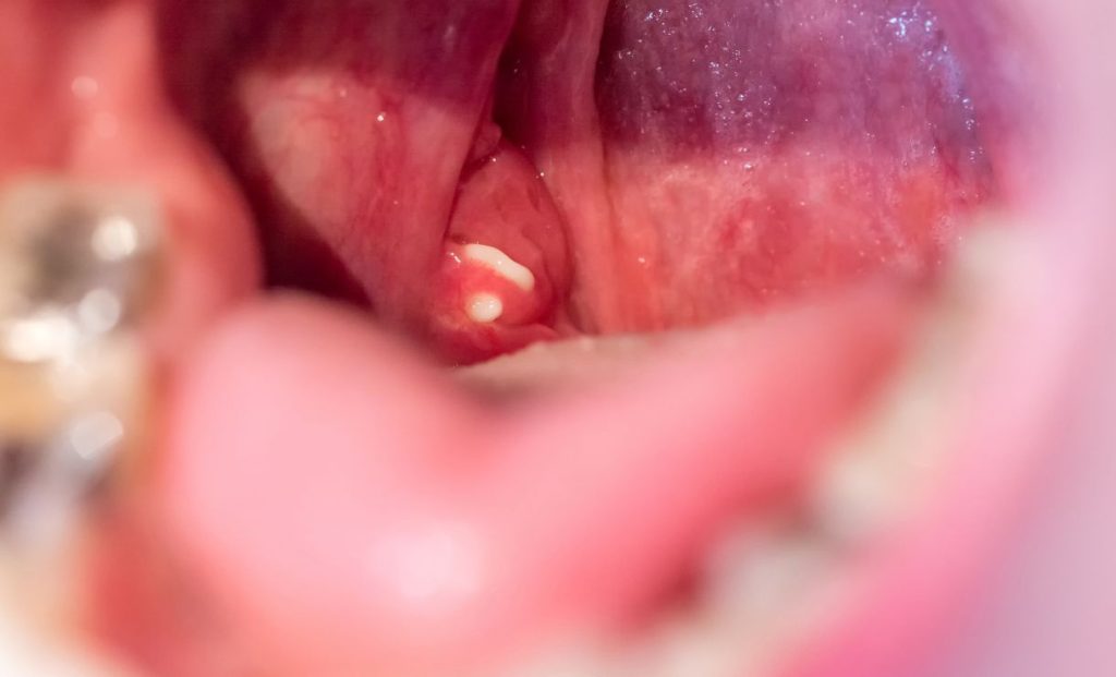
Cáseos amigdalianos são pequenas massas ou ‘bolinhas’ que se formam nas cavidades (criptas) das amígdalas. Sua aparência varia de cor branca, amarelada ou até esverdeada, e o tamanho pode ir de minúsculos a alguns milímetros, com textura macia e pastosa ou dura e calcificada. Muitos pacientes relatam a sensação de ‘algo preso’ na garganta, ou descobrem os cáseos acidentalmente ao tossir, espirrar ou se olhar no espelho.
Podemos comparar o processo de formação a uma ‘pérola’ em uma ostra: um detrito (resto de comida, célula morta) entra na cripta e serve como núcleo para o acúmulo de mais camadas.
É crucial diferenciar o caseum de placas de pus; o pus é líquido ou pastoso, sinal de infecção ativa com febre e dor, enquanto o caseum é sólido e não indica infecção aguda. Outros nomes populares incluem ‘pedras na amígdala’ ou ‘tonsil stones’. A presença de cáseos é muito comum e, na maioria dos casos, não representa um problema de saúde sério, apenas um incômodo.
De Onde Vem o Caseum? A Composição e Origem do Cálculo Amigdaliano
O caseum na garganta é resultado de uma “receita” de componentes: células epiteliais mortas, restos de alimentos (especialmente proteínas), bactérias da flora bucal normal (com destaque para as anaeróbias), glóbulos brancos mortos e sais minerais, como o cálcio, que causam a calcificação. As bactérias anaeróbias são as grandes responsáveis pelo odor fétido, liberando compostos sulfurados voláteis (CSVs) ao metabolizar os detritos, causando mau hálito.

O processo de formação inicia quando detritos ficam presos nas criptas amigdalianas. As bactérias se alimentam e multiplicam, e os detritos se compactam. Com o tempo, sais minerais da saliva se depositam, endurecendo a estrutura e formando o cálculo amigdaliano, de forma similar ao tártaro dental.
As amígdalas são tecidos esponjosos com criptas, e pessoas com criptas mais profundas têm maior predisposição. Saliva espessa ou baixa produção de saliva também podem contribuir. A formação de um cáseo amigdaliano é um processo natural para muitos, não sendo indicativo de falta de higiene.
Caseum na Garganta vs. Pus: A Diferença Crucial que Você Precisa Saber
É fundamental entender a diferença entre caseum e pus. O caseum, ou cáseo amigdaliano, tem origem no acúmulo de detritos, apresenta consistência sólida em pedaços, cor branca a amarela, odor forte e causa sensação de corpo estranho ou mau hálito, mas geralmente sem dor. Não é contagioso.
Já o pus, como na amigdalite bacteriana, é uma resposta a uma infecção por bactérias patogênicas. Sua consistência é líquida ou pastosa, cor amarela viva ou esverdeada, e vem acompanhado de dor de garganta intensa, febre, mal-estar e dificuldade para engolir.
Se você sente dor, febre ou tem os sintomas do pus, procure um médico. Encontrar cáseos não é motivo para pânico; é uma condição benigna e diferente de uma infecção com pus, e entender essa diferença é crucial para lidar corretamente com a condição.
Como se Formam os Cáseos? Entenda o Processo nas Criptas Amigdalianas
Para compreender o que são cáseos amigdalianos, é fundamental entender como eles surgem. O processo de formação dessas pequenas massas é uma sequência de eventos que ocorre nas criptas das amígdalas. Imagine suas amígdalas como uma esponja ou uma ameixa seca, cheia de pequenos buracos e reentrâncias. São essas cavidades, chamadas criptas amigdalianas, que servem como o cenário principal para o desenvolvimento do cáseo.
A formação do cálculo amigdaliano não é um evento isolado, mas sim um ciclo contínuo, influenciado por diversos fatores. Geralmente, esse processo é lento, levando dias ou até semanas para que os cáseos se tornem perceptíveis
No início, eles podem ser assintomáticos, o que explica por que muitas pessoas só os notam quando já estão visíveis ou causam algum incômodo, como o mau hálito. Entender essa dinâmica ajuda a desmistificar a condição, mostrando que não se trata de uma doença grave, mas sim de uma particularidade anatômica e bioquímica.
O Que São Cáseos Amigdalianos? Entendendo a Estrutura das Amígdalas
Cáseos amigdalianos, também conhecidos como caseum ou cálculos amigdalianos, são pequenas massas endurecidas, de cor branca, amarelada ou acinzentada, que se formam nas cavidades (criptas) das amígdalas. As amígdalas atuam como parte do sistema imunológico, funcionando como “postos de vigilância” na garganta, capturando vírus e bactérias. Contudo, a anatomia específica dessas estruturas é crucial: elas não são lisas, mas possuem de 10 a 30 criptas, que são pequenos buracos, túneis ou covinhas em sua superfície.
Essas criptas são normais e variam em tamanho e profundidade entre as pessoas. Quem possui criptas mais profundas e tortuosas tem maior predisposição a formar cáseos. É importante destacar que ter cáseos não significa que suas amígdalas estão doentes ou que seu sistema imunológico falhou; é, na maioria das vezes, uma questão anatômica e de hábitos. Os sinônimos mais comuns que o leitor pode encontrar são ‘caseum’, ‘cálculo amigdaliano’, ‘tonsil stones’ e ‘bolinhas ou placas brancas na garganta’.
O Que é Caseum? O Passo a Passo da Formação das Bolinhas Brancas na Garganta
A formação do caseum na amígdala é um processo sequencial dividido em quatro estágios.
No Estágio 1, ocorre o Acúmulo de Detritos: partículas microscópicas de alimentos (especialmente lácteos e proteínas), células mortas da mucosa que descamam naturalmente e muco (catarro) ficam presos nas criptas, que funcionam como “armadilhas” para esse material.
No Estágio 2, a Ação Bacteriana e o Mau Hálito: bactérias da flora bucal, como Streptococcus e Fusobacterium, colonizam o material preso, decompondo proteínas e liberando compostos sulfurados voláteis (CSVs). Esses CSVs são os principais responsáveis pelo mau hálito por caseum, que é característico, forte e persistente.
O Estágio 3 é a Formação do Biofilme: as bactérias e os detritos formam uma massa pegajosa e esbranquiçada que adere às paredes da cripta, semelhante a uma “placa bacteriana” inicial e mole.
Estágio 4, ocorre a Calcificação (Formação do Cálculo Amigdaliano): minerais presentes na saliva (cálcio, fosfato de cálcio, carbonato de cálcio, magnésio) se depositam e cristalizam sobre essa massa bacteriana.
Essa mineralização confere a consistência dura de “pedrinha” ao cáseo e sua coloração, que pode variar do branco ao amarelo ou marrom. É um processo similar à formação do tártaro nos dentes: placa bacteriana (mole) + tempo + minerais da saliva = cálculo endurecido (duro).
Caseum na Amígdala e na Garganta: Quais São os Principais Fatores de Risco?
Alguns fatores aumentam a propensão de uma pessoa ter caseum na amígdala ou na garganta.
Fator 1 é a Anatomia Individual: amígdalas grandes (hipertróficas) e, principalmente, criptas amigdalianas mais profundas, numerosas e tortuosas criam um “terreno” favorável. Isso é uma característica genética e não uma doença.
Fator 2 é a Higiene Bucal Inadequada: a falta de limpeza da língua e a não realização de gargarejos permitem maior acúmulo de detritos e bactérias.
Fator 3 Problemas de Sinusite ou Rinite Crônica (Gotejamento Pós-Nasal), envolve o muco constante que escorre para a garganta, rico em proteínas e células, “alimentando” o processo de formação do cáseo.
- Desidratação e Saliva Espessa: Baixa ingestão de água, uso de medicamentos que ressecam a boca ou respiração bucal levam a uma saliva mais grossa e menos fluida. Uma saliva aquosa ajuda a lavar as criptas, enquanto uma espessa não consegue fazer essa limpeza natural, permitindo que os detritos grudem.
- Dieta Rica em Lácteos e Proteínas: Embora não seja uma causa direta, uma dieta com excesso de leite, queijo e iogurte pode fornecer mais resíduos proteicos que favorecem a formação do biofilme bacteriano.
Se você possui amígdalas com criptas profundas (fator incontrolável) e ainda sofre de sinusite ou bebe pouca água (fatores controláveis), as chances de desenvolver caseum são significativamente maiores. O cálculo amigdaliano é uma consequência da combinação desses fatores, não um sinal de doença grave, mas um indicativo de que as criptas estão acumulando material.
Sintomas dos Cáseos Amigdalianos: Do Mau Hálito à Sensação de Corpo Estranho
Compreender os sintomas dos cáseos amigdalianos é fundamental para identificar a condição e buscar o tratamento adequado. A presença dessas formações, que muitas vezes se manifestam como bolinhas brancas na garganta, pode gerar desconforto e impactar a qualidade de vida. Embora a condição não seja grave, os sinais que ela apresenta são bem característicos e podem ser confundidos com outras afecções.
Mau Hálito por Caseum: O Sintoma Número 1 e Sua Causa Científica
O mau hálito, ou halitose, é o sintoma mais característico e socialmente impactante dos cáseos amigdalianos, sendo a principal queixa que leva à investigação. Restos de comida, células mortas e muco ficam presos nas criptas amigdalianas, servindo de alimento para bactérias anaeróbias. Durante a metabolização desses detritos, as bactérias produzem Compostos Sulfurados Voláteis (CSVs), como sulfeto de hidrogênio (odor de ovo podre) e metilmercaptana (cheiro de repolho), que causam o odor fétido.
Este mau hálito é persistente e de difícil controle com a higiene bucal comum, pois a fonte do odor está escondida no fundo das criptas. Muitas vezes, a própria pessoa não percebe o hálito devido à fadiga olfatória, mas sinais indiretos como pessoas se afastando ou oferecendo balas são indicativos.
Um teste caseiro simples é lamber o pulso, esperar secar e cheirar; o odor restante pode sinalizar problemas na orofaringe. Tratar o mau hálito por caseum requer a remoção da causa física, ou seja, os próprios cáseos.
Bolinhas Brancas na Garganta: Identificação Visual do Caseum Amigdaliano
Visualmente, os cáseos amigdalianos se apresentam como pequenas massas ou “bolinhas” que variam do branco-amarelado ao amarelo-escuro ou acinzentado, com consistência pastosa ou endurecida. São encontrados especificamente nas criptas das amígdalas palatinas, nunca na língua ou céu da boca. Para auto-observação segura, use um espelho com boa luz, abra a boca e diga “AAAAH” para expor as amígdalas, mas nunca tente removê-los com objetos pontiagudos.
É crucial diferenciar essas bolinhas brancas na garganta de outras condições: cáseos são discretos e soltos, enquanto placas de amigdalite são maiores, cobrem uma área contínua e vêm com dor e febre. Pus de abscesso é uma coleção maior, dolorosa e geralmente unilateral.
Os cáseos podem ser expelidos espontaneamente ao tossir ou espirrar, revelando seu cheiro forte. A presença dessas formações sem dor ou febre forte é um forte indicativo de cáseos e não de uma infecção aguda.
Caseum é Perigoso? Diferença Entre Caseum e Pus na Amígdala
Na grande maioria dos casos, os cáseos amigdalianos não são perigosos. Trata-se de uma condição benigna, não cancerígena, não contagiosa e raramente leva a complicações graves. As complicações raras incluem cáseos muito grandes que causam dificuldade real para engolir, inflamação secundária da cripta ou, em casos extremos, abscesso periamigdaliano.
- Cáseos (Caseum):
- Origem: Acúmulo de detritos.
- Sintomas Associados: Geralmente sem dor, sem febre (diferente de placas brancas na garganta de infecção).
- Aparência: Bolinhas soltas, amareladas.
- Odor: Odor fétido característico.
- Tratamento: Remoção mecânica, higiene.
- Pus de Amigdalite/Abscesso:
- Origem: Resposta a infecção bacteriana/viral.
- Sintomas Associados: Com dor intensa, com febre, mal-estar.
- Aparência: Placas contínuas ou coleção líquida/amolecida.
- Odor: Pode ter odor, mas não é o sintoma principal.
- Tratamento: Requer antibióticos (se bacteriano) ou antivirais.
Se houver dor de garganta forte, febre (>38°C) e dificuldade para engolir, procure um médico imediatamente, pois pode ser amigdalite ou outra infecção, e não apenas o que são cáseos amigdalianos. O maior “perigo” dos cáseos é o impacto psicossocial devido ao mau hálito e ansiedade, não um risco grave à saúde física, reforçando a importância do diagnóstico correto.
Cáseos Amigdalianos São Perigosos? Diferença Entre Caseum, Pus e Amigdalite
Não, na grande maioria dos casos, os cáseos amigdalianos NÃO são perigosos para a saúde geral. Compreender o que são cáseos amigdalianos é fundamental para desmistificar preocupações. Eles são como o lixo que se acumula em um cantinho da casa – desagradável, mas não estruturalmente perigoso. O “perigo” real reside no desconforto e no impacto na qualidade de vida, como o mau hálito por caseum.
Afinal, Caseum é Perigoso? Desmistificando os Riscos Reais
Não, o caseum (cáseos amigdalianos) não é considerado uma condição perigosa para a saúde geral. Os mitos comuns incluem o câncer, mas as bolinhas não são tumorais, são acúmulos de restos. Também não são contagiosos, ou seja, não é uma doença transmissível. Além disso, não há risco de infecção generalizada pelos cáseos em si.
O impacto do caseum é, principalmente, na qualidade de vida, causando desconforto social e físico. A amigdalite caseosa, uma inflamação crônica de baixa intensidade, favorece a formação dos cáseos, diferente da amigdalite aguda. Você deve se preocupar se houver febre acima de 38°C, dor de garganta incapacitante, inchaço visível ou pus escorrendo. Portanto, respire aliviado: seu principal incômodo, como o mau hálito, tem solução.
Caseum x Pus: Entenda a Diferença Crucial (Tabela Comparativa)
Muitas pessoas confundem as bolinhas brancas do caseum com o pus de uma infecção, mas são coisas DIFERENTES. Entender essa distinção é crucial para saber como agir e identificar o que é caseum. A seguir, uma comparação detalhada para esclarecer as características de cada condição. Essa clareza ajuda a diferenciar quando a condição é apenas um incômodo ou requer atenção médica.
- Aparência: Cáseos Amigdalianos são bolinhas ou massas sólidas, branco-amareladas, quebradiças. Pus é secreção líquida, cremosa, amarelo-esverdeada. Amigdalite Viral apresenta vermelhidão intensa, possivelmente com placas brancas difusas.
- Dor: Cáseos geralmente NÃO causam dor, apenas desconforto. Pus causa dor INTENSA na garganta ao engolir. Amigdalite Viral tem dor de leve a moderada.
- Febre e Mal-estar: Ausentes em cáseos. Presentes (febre alta, calafrios) em casos de pus. Frequentes (febre) na Amigdalite Viral.
- Odor: Cáseos causam mau hálito forte e fétido. Pus pode ter mau hálito, mas menos característico. Amigdalite Viral geralmente não tem mau hálito específico.
- Localização: Cáseos ficam dentro das criptas das amígdalas. Pus está sobre a superfície, formando placas. Amigdalite Viral é difusa por toda a garganta.
- O que fazer: Para cáseos, higiene, gargarejos, consulta com dentista ou otorrino. Para pus, procura IMEDIATA de médico. Para Amigdalite Viral, repouso, hidratação.
Se você tem bolinhas brancas, mas sem dor ou febre, é quase certeza de ser caseum. Se há dor incapacitante e febre, é provavelmente pus e precisa de avaliação médica. Saber como surge o caseum ajuda a entender que ele não é uma infecção aguda. Esta distinção é vital para um tratamento adequado e para evitar preocupações desnecessárias.
Bolinhas Brancas na Garganta: Como Saber se é Caseum, Placas ou Outra Coisa?
A dúvida sobre “bolinhas brancas na garganta” ou “placas brancas na garganta” é comum, e a resposta depende de um “checklist” de sintomas. Se você vê bolinhas brancas, mas não sente dor forte e febre, é Caseum. Se há dor forte e febre, pode ser Amigdalite Bacteriana (pus). Se as placas são difusas e a garganta muito vermelha, pode ser Amigdalite Viral.
A aparência TÍPICA do cáseo amigdaliano são pequenas massas (1-5mm), cor de queijo cottage ou amarelada, textura quebradiça, localizadas nas criptas das amígdalas. Elas podem sair aos pedaços ao tossir ou espirrar.
As placas de uma amigdalite viral ou bacteriana são manchas ou camadas esbranquiçadas que cobrem áreas da amígdala, mais difusas e sem formato de ‘bolinha’ definida, com a garganta visivelmente vermelha e inflamada. Outros diagnósticos raros incluem candidíase oral ou leucoplasia, mas são menos comuns.
Como Tratar Cáseos Amigdalianos: Opções Caseiras, Clínicas e Cirúrgicas
Agora que você já entendeu O Que São Cáseos Amigdalianos, vamos explorar como lidar com eles. A busca por soluções é comum, especialmente para quem enfrenta os incômodos sintomas de caseum. Felizmente, existe um espectro de abordagens, que vai desde cuidados simples em casa até intervenções mais complexas, garantindo que haja uma opção para cada nível de gravidade e persistência do problema.
É fundamental lembrar que o perigo reside na automedicação e na remoção agressiva. Tentar remover cáseos com objetos pontiagudos ou unhas pode causar sangramento, infecção e danos às amígdalas, agravando a situação. A abordagem correta passa pela compreensão do problema e pela escolha do método adequado, sempre com foco na segurança e na eficácia.
Tratamento para Caseum: Primeiros Passos e Cuidados Caseiros Seguros
Para muitos, o tratamento para caseum começa em casa, com foco na higiene e na dissolução suave, não na remoção forçada. Os pilares do autocuidado incluem gargarejos regulares, hidratação abundante e uma alimentação estratégica.
O gargarejo com água morna e sal é uma excelente opção: misture 1 colher (chá) de sal em 1 copo de água morna e faça gargarejo por 30 segundos, 2 a 3 vezes ao dia, especialmente após as refeições. Cuspa a solução e nunca a engula. Soluções de água oxigenada 1,5% diluída (uma parte de água oxigenada para dez de água) ou antissépticos bucais sem álcool também podem ser usados, pois o álcool resseca e pode piorar a condição.
A hidratação abundante com água ajuda a “lavar” os detritos e a manter a saliva fluida, dificultando a formação de novas bolinhas. Alimentos fibrosos, como maçã e cenoura, podem auxiliar na limpeza mecânica durante a mastigação.
Quanto ao método do cotonete, ele deve ser usado com extrema cautela: apenas se o cáseo estiver visível e superficial. Umedeça a ponta do cotonete e, com boa luz e diante de um espelho, pressione suavemente o tecido logo abaixo do cáseo. Se não sair facilmente, desista, pois o risco de empurrar para dentro ou machucar a amígdala é alto.
Para saber como evitar caseum, hábitos preventivos são cruciais, como a escovação lingual e o uso de irrigador oral na potência mínima e direcionado com cuidado para as amígdalas, além de visitas regulares ao dentista. Não, a condição em si não é perigosa, mas as tentativas agressivas de remoção podem ser.
Se sentir dor intensa, sangrar ou notar inchaço após tentar remover, procure um médico. Se os cáseos forem muito profundos, frequentes (mais de 1-2 vezes por semana) ou causarem grande incômodo social, é hora de buscar um tratamento profissional.
Como Surge o Caseum e Quando a Limpeza Profissional é Necessária
Imagine as criptas das suas amígdalas como pequenos buracos, semelhantes a um queijo suíço. Restos de comida, células mortas e bactérias podem ficar presos ali, explicando como surge o caseum. Com o tempo, esse material se calcifica, formando as bolinhas brancas ou amareladas, que são os cáseos amigdalianos.
Essa explicação justifica a necessidade de tratamentos profissionais quando o autocuidado não é suficiente. A limpeza das criptas, ou “expressão amigdaliana”, realizada por um dentista ou otorrinolaringologista, é o primeiro degrau do tratamento profissional. É um procedimento rápido, feito no consultório, sem necessidade de anestesia geral.
Durante o procedimento, o profissional utiliza instrumentos delicados, como uma cureta ou uma seringa com cateter macio, para irrigar e desalojar suavemente os cáseos das criptas, podendo também usar um aspirador específico para remover os detritos.
Outra opção moderna é a Criptólise a Laser. Neste tratamento, um laser de baixa potência é empregado para “selar” ou reduzir a profundidade das criptas amigdalianas, tornando-as menos propensas a acumular detritos. É realizado com anestesia local, em sessões rápidas. Enquanto a limpeza manual resolve o problema imediato, os cáseos podem retornar.
A laserterapia, por outro lado, busca uma solução mais duradoura, reduzindo a frequência do problema de caseum na garganta. Pessoas com caseum recorrente, que não melhoram com higiene caseira, ou que sofrem com o impacto social do mau hálito por caseum, devem considerar esses tratamentos. O custo da limpeza manual pode ser acessível ou coberto por planos odontológicos, enquanto a criptólise a laser é um procedimento privado com valor variável.
Caseo Amigdaliano Severo: Quando a Cirurgia (Amigdalectomia) é Considerada
A amigdalectomia, que é a remoção cirúrgica das amígdalas, é considerada o último recurso para o tratamento de caseo amigdaliano, reservada para casos que realmente impactam a qualidade de vida. Para a grande maioria das pessoas que têm o que são cáseos amigdalianos, a cirurgia não é necessária.
Os critérios médicos para indicar a cirurgia são rigorosos e incluem cáseos grandes, dolorosos e recorrentes que não respondem a nenhum outro tratamento; infecções de garganta (amigdalites) bacterianas frequentes associadas aos cáseos; abscesso periamigdaliano recorrente; e dificuldade real para engolir ou respirar devido ao tamanho das amígdalas ou dos cáseos.
O procedimento cirúrgico, feito sob anestesia geral, pode utilizar técnicas como bisturi, laser ou coblação, escolhidas pelo cirurgião com
Prevenção: Como Evitar a Formação de Novos Cáseos Amigdalianos
A prevenção da formação de novos cáseos amigdalianos, ou como evitar caseum, foca principalmente no controle e na minimização, e não na eliminação total. Isso é especialmente verdadeiro para indivíduos com anatomia amigdaliana que favorece o acúmulo, como criptas profundas.
Compreender o que são cáseos amigdalianos e suas causas é o primeiro passo para uma estratégia preventiva eficaz, que combina uma higiene rigorosa com hábitos saudáveis e o tratamento de condições subjacentes.
Embora não exista uma cura definitiva para quem possui amígdalas muito crípticas, as medidas preventivas podem reduzir significativamente a frequência e o tamanho das bolinhas brancas na garganta. O objetivo é criar um ambiente oral e faríngeo menos propício ao acúmulo de detritos e bactérias. Assim, a prevenção torna-se uma rotina de manutenção contínua, visando melhorar a qualidade de vida e evitar o mau hálito por caseum.
Rotina de Higiene Bucal Impecável: A Primeira Linha de Defesa Contra o Cáseo Amigdaliano
A placa bacteriana e os restos alimentares são a “matéria-prima” para a formação do cálculo amigdaliano, ou caseum na amígdala. Assim, removê-los é crucial. A escovação ideal deve ser feita com escova de cerdas macias, inclinando-a a 45 graus em direção à gengiva, com movimentos suaves e circulares.
Não se esqueça de escovar a parte posterior dos dentes e a área próxima às amígdalas, com cuidado para não provocar ânsia. O uso diário do fio dental, antes da escovação, é essencial para remover o biofilme entre os dentes, onde a escova não alcança. A técnica correta envolve formar um “C” ao redor do dente e deslizar suavemente.
A limpeza da língua com um raspador linguístico específico, de trás para frente, remove a saburra branca, um grande reservatório de bactérias associadas ao mau hálito por caseum. Recomenda-se trocar a escova a cada 3 meses ou quando as cerdas estiverem deformadas.
A sequência ideal é: 1-Fio dental, 2- Escovação, 3-Limpeza da língua.
É importante alertar que a escovação agressiva ou tentar “raspar” as amígdalas com a escova pode machucar o tecido e piorar o problema.
Hidratação e Gargarejos: Como a Água Simples Pode Combater o Caseum na Garganta
A saliva atua como um “rio” que naturalmente lava as amígdalas. Se estiver escassa (boca seca) ou espessa (desidratação), os detritos ficam presos nas criptas, contribuindo para como surge o caseum. Recomenda-se ingerir pequenos goles de água ao longo do dia, totalizando pelo menos 2 litros, em vez de grandes volumes de uma só vez.
Gargarejos preventivos pós-refeições, com água morna ou em temperatura ambiente, inclinando a cabeça para trás e fazendo o som “ahhh” por 20-30 segundos, forçam a água na região das amígdalas para desalojar partículas recentes. Gargarejos com água morna e sal (1/2 colher de chá em um copo de água), 1-2 vezes ao dia, possuem propriedades antissépticas suaves e ajudam a reduzir a inflamação, tornando as criptas menos “aderentes”.
Evite enxaguantes bucais com álcool em excesso, pois podem ressecar a mucosa e alterar a flora bacteriana. O consumo de frutas com alto teor de água e chás sem açúcar complementa a hidratação. Pessoas que respiram pela boca devido a rinite ou hábito tendem a ter a boca mais seca, necessitando redobrar a atenção à hidratação para evitar a formação de cáseos amigdalianos.
Controlando as Causas de Fundo: Sinusite, Rinite e a Relação com o Cálculo Amigdaliano
O gotejamento pós-nasal, onde secreções de muco da narina e seios da face escorrem pela garganta, carrega bactérias e células mortas que podem se depositar nas criptas amigdalianas, contribuindo para o caseum na garganta. É crucial consultar um otorrinolaringologista para diagnosticar e tratar rinite alérgica ou sinusite crônica.
Controlar a fonte do muco é controlar um dos ingredientes do cáseo. Tratamentos comuns incluem sprays nasais de corticóide, anti-histamínicos e lavagem nasal com soro fisiológico, que é higiene nasal. A técnica correta da lavagem nasal com soro ou solução salina é usar um lota ou seringa (sem agulha), inclinar a cabeça para o lado sobre a pia e irrigar uma narina, deixando sair pela outra, limpando as vias aéreas superiores.
A melhora da respiração nasal reduz a respiração bucal, diminuindo o ressecamento e a descamação da mucosa. Alergias alimentares ou ambientais não diagnosticadas podem piorar a produção de muco. Tratar a via aérea superior é uma prevenção sistêmica e eficaz contra a formação de novas placas brancas na garganta de origem caseosa.
Dieta e Hábitos: O Papel dos Laticínios e Outros Fatores no Surgimento do Caseum
Para um subgrupo de pessoas, o consumo de leite e derivados pode tornar a saliva mais espessa e rica em proteínas, como a caseína, que podem se acumular nas criptas. Sugere-se um teste prático e supervisionado: reduzir ou suspender o consumo de laticínios por 2-3 semanas e observar se há redução na formação de cáseos ou no volume da saliva.
É fundamental entender que esta não é uma recomendação universal, mas uma investigação pessoal. Iogurtes com probióticos (sem açúcar) podem ser uma alternativa positiva, auxiliando no equilíbrio da flora bacteriana oral. Alimentos como sementes pequenas, farelos e farináceos podem formar uma “pasta” que contribui para o caseum na amígdala.
Uma dieta balanceada, rica em frutas, vegetais e fibras, estimula a mastigação e a produção de saliva fluida. O tabagismo e o consumo excessivo de álcool ressecam a mucosa, alteram a flora bacteriana e aumentam a descamação celular, piorando o ambiente para a formação das bolinhas brancas na garganta. Ajustes
Quando Procurar um Médico? Sinais de Alerta e Especialistas Indicados
Diferenciar quando os cáseos amigdalianos, também conhecidos como tonsilólitos, são apenas um incômodo manejável em casa ou um sinal para buscar ajuda profissional é crucial. Embora na maioria dos casos o que são cáseos amigdalianos se apresente como uma condição comum e benigna, certos sinais indicam a necessidade de uma avaliação médica.
A tranquilidade de saber que a condição é geralmente inofensiva não deve impedir a busca por um diagnóstico preciso quando os sintomas persistem ou se agravam, garantindo a exclusão de outras condições e o tratamento adequado.
Caseum é Perigoso? Sinais de que Precisa de Avaliação Médica
Em geral, os cáseos amigdalianos não são perigosos. Contudo, sinais de alerta que indicam a necessidade de consulta incluem a formação frequente de cáseos grandes (maiores que 3mm) ou em grande quantidade. O mau hálito intenso e persistente que não melhora com higiene bucal rigorosa, ou desconforto e dor local constante, também são motivos para procurar um especialista.
Atenção especial à dificuldade para engolir (disfagia) ou sensação de ‘caroço’ na garganta que não some. Se houver febre, dor de garganta forte, vermelhidão intensa ou gânglios inchados e doloridos no pescoço, pode não ser apenas caseum, mas uma infecção, exigindo avaliação médica urgente.
A avaliação profissional é importante para afastar outras condições, como tonsilólitos calcificados maiores ou outras patologias amigdalianas.
Sintomas de Caseum que Mais Incomodam e Quando se Agravam
Os sintomas mais incômodos do que são cáseos amigdalianos são o mau hálito persistente, o gosto metálico ou ruim na boca e a sensação de corpo estranho. O mau hálito, se percebido frequentemente por outras pessoas e causando constrangimento social ou ansiedade, é um sintoma clinicamente relevante.
A sensação constante de algo preso na garganta (globus faríngeo), que pode até estimular a tosse seca irritativa, difere de um leve incômodo ocasional. Os sintomas de caseum podem se agravar em períodos de desidratação, sinusite, consumo excessivo de laticínios ou estresse. A tosse ou expectoração recorrente de pequenas ‘bolinhas brancas na garganta’, especialmente pela manhã, também pode ser um indicativo.
A persistência e o agravamento desses sintomas são indicadores-chave de que medidas caseiras podem não ser suficientes, e a intervenção profissional é o próximo passo.
Diferença Entre Caseum e Pus: Como Saber e Por que é Importante
É fundamental entender a diferença entre caseum e pus. Cáseos são acúmulos sólidos, esféricos ou irregulares, branco-amarelados, de células, bactérias e debris que se calcificam, geralmente sem dor ou febre. Pus, por outro lado, é um exsudato amarelado/esverdeado e cremoso, composto por glóbulos brancos mortos e bactérias, resultante de uma infecção ativa, sempre associado a dor intensa de garganta, febre, mal-estar e dificuldade para engolir.
Confundir os dois pode levar a ignorar uma infecção bacteriana grave ou a alarmar-se desnecessariamente. Se há dor forte e febre, é provável que seja pus/infecção e requer avaliação médica. Se apenas há as ‘bolinhas’ e mau hálito sem dor, são provavelmente cáseos. Somente um otorrinolaringologista (ORL) pode fazer o diagnóstico diferencial preciso, garantindo que uma infecção não passe despercebida.
Placas Brancas na Garganta: Pode ser Caseum ou Outra Coisa?
O termo ‘placas brancas na garganta’ pode descrever várias condições, e o que são cáseos amigdalianos é apenas uma delas. As placas brancas podem ser cáseos amigdalianos (bolinhas sólidas e soltas), exsudato purulento de amigdalite bacteriana (placas aderentes com inflamação), amigdalite caseosa (placas pastosas malcheirosas), mononucleose (placas branco-acinzentadas extensas) ou candidíase oral (placas aveludadas removíveis).
Cáseos são discretos e pontuais, com a amígdala ao redor parecendo normal. Placas de infecção são extensas, a amígdala está vermelha e inchada, e há sintomas sistêmicos como febre e dor. Se as placas não saem com gargarejo, são acompanhadas de dor ou febre, é crucial procurar um médico imediatamente.
O otorrinolaringologista fará o diagnóstico por exame visual e, se necessário, cultura da secreção. A avaliação profissional é a única forma de ter certeza do diagnóstico e receber o tratamento adequado, evitando automedicação perigosa.
Perguntas Frequentes Sobre Cáseos Amigdalianos (FAQ)
O Que São Cáseos Amigdalianos? Identificação e Nomes
Os cáseos amigdalianos são pequenas massas brancas, amareladas ou acinzentadas que se formam nas cavidades (criptas) das amígdalas. O termo “caseum” vem do latim e significa “queijo”, devido à sua aparência e textura. “Cálculo amigdaliano” refere-se à sua natureza de acúmulo endurecido. Imagine as amígdalas como uma esponja com vários furinhos (criptas), onde restos de comida, células mortas e bactérias podem ficar presos e se calcificar, formando o cáseo.
É crucial entender que o cáseo NÃO é pus. O pus é líquido, amarelado-esverdeado e indica infecção ativa que requer antibióticos. O cáseo, por outro lado, é sólido ou pastoso, resultado de uma formação crônica e não sinaliza uma infecção aguda.
Ele pode variar do tamanho de um grão de arroz a uma ervilha, tem textura quebradiça e um odor fétido característico. Muitas vezes, é notado ao tossir, espirrar ou ao observar suas amígdalas no espelho, sendo também conhecido popularmente como pedras na amígdala ou bolinhas brancas na garganta.
Sintomas, Causas e Como Surge o Caseum na Garganta
Os principais sintomas incluem mau hálito crônico (halitose), sensação de corpo estranho ou “nó” na garganta, gosto metálico ou desagradável na boca, e, em casos de cáseos maiores, leve dificuldade para engolir ou tosse seca ocasional.
A causa raiz está na anatomia das amígdalas: pessoas com criptas mais profundas e irregulares são mais predispostas. O processo de formação do caseum na garganta inicia-se com o acúmulo de detritos (células, restos alimentares, proteínas), seguido pela colonização de bactérias sulfúricas e, por fim, a calcificação desses depósitos pelos sais minerais da saliva.
Fatores como má higiene bucal, sinusite crônica e boca seca podem agravar a condição. Não, o caseum não é diretamente ligado à baixa imunidade, sendo mais uma questão anatômica e de higiene local. Crianças podem ter, mas é menos comum.
O mau hálito por caseum ocorre porque as bactérias produzem compostos sulfurados voláteis (CSVs) durante a decomposição, que são responsáveis pelo odor forte. A diferença entre caseum e pus é fundamental: o primeiro é um acúmulo calcificado, o segundo é sinal de infecção.
Caseum é Perigoso? Riscos e Tratamento Eficaz
Na grande maioria dos casos, o caseum não é perigoso; é uma condição benigna, mas pode ser incômoda e causar constrangimento social devido ao mau hálito. As complicações são raras e ocorrem em casos extremos, como inflamação local crônica ou abscesso periamigdaliano.
O tratamento para caseum varia de medidas de higiene e remoção caseira cuidadosa a procedimentos médicos. A limpeza profissional, feita por dentista ou otorrinolaringologista, é eficaz para cáseos visíveis. Para casos recorrentes, a criptólise a laser ou a amigdalectomia podem ser opções.
Bochechos com soluções levemente ácidas (como uma colher de vinagre de maçã em água) podem ajudar a desprender cáseos pequenos, mas nunca use substâncias puras e não exceda 1-2 vezes por semana. Irrigadores orais são ferramentas eficazes para prevenção, usando o jato de água suavemente nas criptas. Lembre-se: qualquer manipulação exige cautela para não machucar as amígdalas.
Como Evitar Caseum e Dúvidas Finais Práticas
Para evitar caseum, mantenha uma higiene bucal impecável, incluindo escovação, fio dental e limpeza da língua. Use bochechos diários sem álcool e mantenha-se hidratado para prevenir boca seca. O uso ocasional de irrigador oral pode ajudar a “lavar” as criptas. Se notar relação, evite o excesso de laticínios e alimentos pegajosos. Engolir os cáseos acidentalmente não faz mal à saúde, pois o estômago os digere, causando apenas um gosto ruim momentâneo.
Sim, cáseos amigdalianos têm cheiro forte e fétido, similar a enxofre. Se tentar a auto-remoção, use apenas um cotonete úmido e faça movimentos gentis na base da amígdala. NUNCA cutuque com força; se não sair fácil, procure um profissional.
O plano odontológico geralmente cobre a consulta e a limpeza profissional. Para procedimentos mais avançados, verifique seu plano de saúde médico. Se os cáseos forem muito frequentes, grandes, ou acompanhados de dor, febre ou inchaço, procure avaliação médica urgente. Embora incômodo, o que são cáseos amigdalianos é uma condição comum, tratável e não grave.
Conclusão: Entendendo O Que São Cáseos Amigdalianos?
Ao longo deste artigo, exploramos detalhadamente O Que São Cáseos Amigdalianos, compreendendo sua formação, causas e os sintomas que podem provocar, como o mau hálito. É fundamental lembrar que, na maioria dos casos, o caseum não é perigoso e representa apenas um acúmulo de detritos nas amígdalas, diferentemente do pus, que indica uma infecção ativa.
Discutimos também sobre as diversas opções de tratamento para caseum, desde medidas caseiras de higiene bucal até procedimentos médicos mais específicos, e como evitar caseum com práticas preventivas eficazes. A manutenção de uma excelente higiene oral é sempre a primeira linha de defesa contra a formação dessas massas calcificadas, auxiliando na redução de seu impacto no dia a dia.
Se os cáseos amigdalianos estão causando mau hálito persistente ou muito desconforto, agende uma avaliação com um otorrinolaringologista ou dentista especializado. Um profissional pode oferecer o diagnóstico preciso e a solução mais adequada para o seu caso. Para manter a saúde bucal em dia e prevenir diversos problemas, conheça nossos planos odontológicos com cobertura ampla e rede credenciada de confiança.
